Table of Contents
Gum health is a crucial component of oral hygiene, yet it’s often overlooked. Whether you’re brushing up on your oral health knowledge or seeking the expertise of a periodontist in Sarasota FL, understanding gum problem signs is essential. Ignoring gum issues can lead to complicated and costly treatments. Tooth loss and other health difficulties can result from periodontal diseases impacting the gums and surrounding tissues. Therefore, recognizing the warning signs early can save a lot of discomfort and resources in the future.
Bleeding Gums
Bleeding gums are often the first sign of gum trouble. If your gums bleed when you brush or floss, it indicates inflammation, commonly known as gingivitis. This condition is reversible with improved oral hygiene, but if left untreated, it can progress to more serious forms of gum disease. While occasional bleeding might not cause concern, persistent bleeding should lead to a dental appointment.
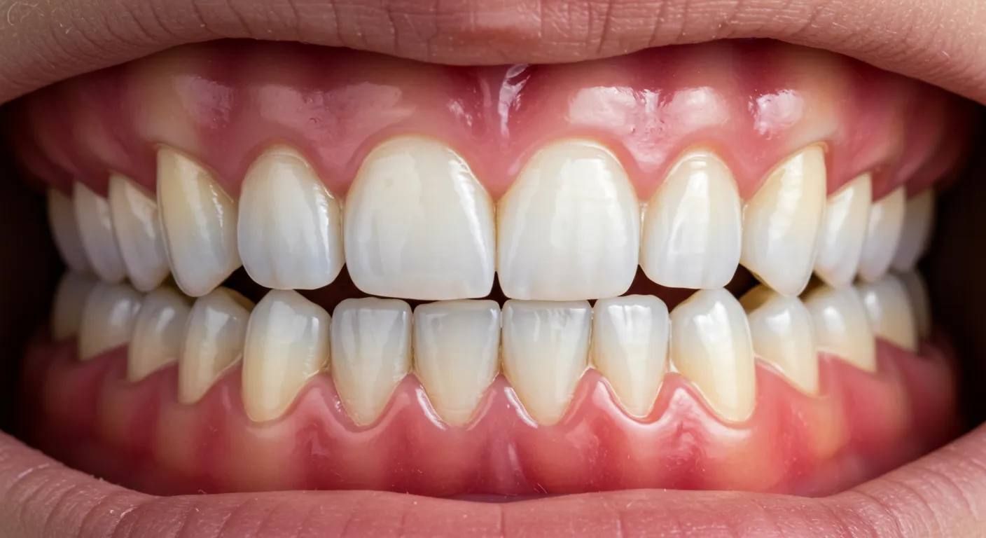
Swollen and Red Gums
Healthy gums should be firm and pink. Swelling and redness are telltale signs of gum inflammation. This often accompanies tenderness and may occur alongside bleeding. Swollen gums can result from plaque accumulation, where bacteria irritate the gum tissue. Plaque may be controlled with routine dental cleanings and proper oral hygiene to prevent the disease from worsening.
Persistent Bad Breath
Bad breath, or halitosis, isn’t just a social issue—it can also signal gum disease. If you continue to have foul breath even after practicing proper dental hygiene, it may indicate that germs are damaging your gums. According to the WebMD article on periodontal disease, addressing the root cause, such as bacteria-laden plaque, is crucial for eliminating the odor and improving gum health.
Receding Gums
Gum recession is another early indicator of gum troubles. It occurs when gum tissue pulls away from the teeth, exposing the roots. This can increase sensitivity and heighten the risk of decay and damage, considering the roots are more vulnerable. Receding gums may also make your teeth appear longer. Routine dental exams are essential for tracking gum health and administering therapy as required.
Sensitivity and Pain
Gum disease can increase tooth sensitivity, especially to hot and cold temperatures. Persistent pain or discomfort around the gums should never be dismissed while eating or otherwise. Such sensitivity often results from gum recession and is treatable through various dental procedures and practices tailored to your condition.
Loose Teeth and Changes in Bite
If teeth start feeling loose or you notice a shift in your bite alignment, it may point to advanced gum disease. As gum issues progress, they can weaken the support structures around your teeth, leading to tooth mobility and changes in how your teeth fit together. Monitoring these changes and consulting a dental professional early can mitigate damage and preserve dental integrity.
Also Read: How Ideal Parent Figure Work Can Support Trauma Recovery After Therapy
Preventive Steps to Maintain Gum Health
Maintaining optimal gum health involves brushing, flossing, and regular dental visits. An antiseptic mouthwash can reduce oral microorganisms. Eating a balanced diet devoid of excessive sugars also supports overall oral health. Additionally, lifestyle decisions like giving up smoking can have a big impact on preventing gum disease.
When to See a Periodontist
If you’re experiencing any of the symptoms mentioned, it’s crucial to seek professional advice promptly. A periodontist specializes in diagnosing and treating illnesses about the gums. They can provide targeted therapies and interventions to mitigate further complications. Early detection and treatment are key to maintaining a healthy smile.
